

46
dasdental labor · LXII ·
1/2014
·www.dlonline.deTechnik
l
First Class-Teamwork
planung, da hier imVorfeld auf dieMög-
lichkeit der Verschraubung geachtet
werden kann. Für die anschließende
Fertigstellung hat der Zahntechniker-
meister ausreichend Zeit, da die Erfah-
rung zeigt, dass es für alle besser ist, bei
hochwertigen Arbeiten den zeitlichen
Rahmen großzügig zu bemessen und
gegebenenfalls individuell zu verlän-
gern. Patienten sehen im Wesentlichen
nur das Ergebnis und vergessen schnell
den zeitlichen Aufwand (Abb. 46 bis 52).
Bei der Fertigstellung helfen hochwer-
tige Provisorien, die bereits vom Zahn-
technikermeister auf den doublierten
Wax-up-Modellen in der neuen Relati-
on erstellt werden und den Übergang
für den Kaukomfort fließend gestalten.
Wichtig ist es zudem, die Provisorien
am Termin der Registrierung entspre-
chend zu korrigieren und dem durch
den Osteopathen veränderten Körper-
schema anzupassen.
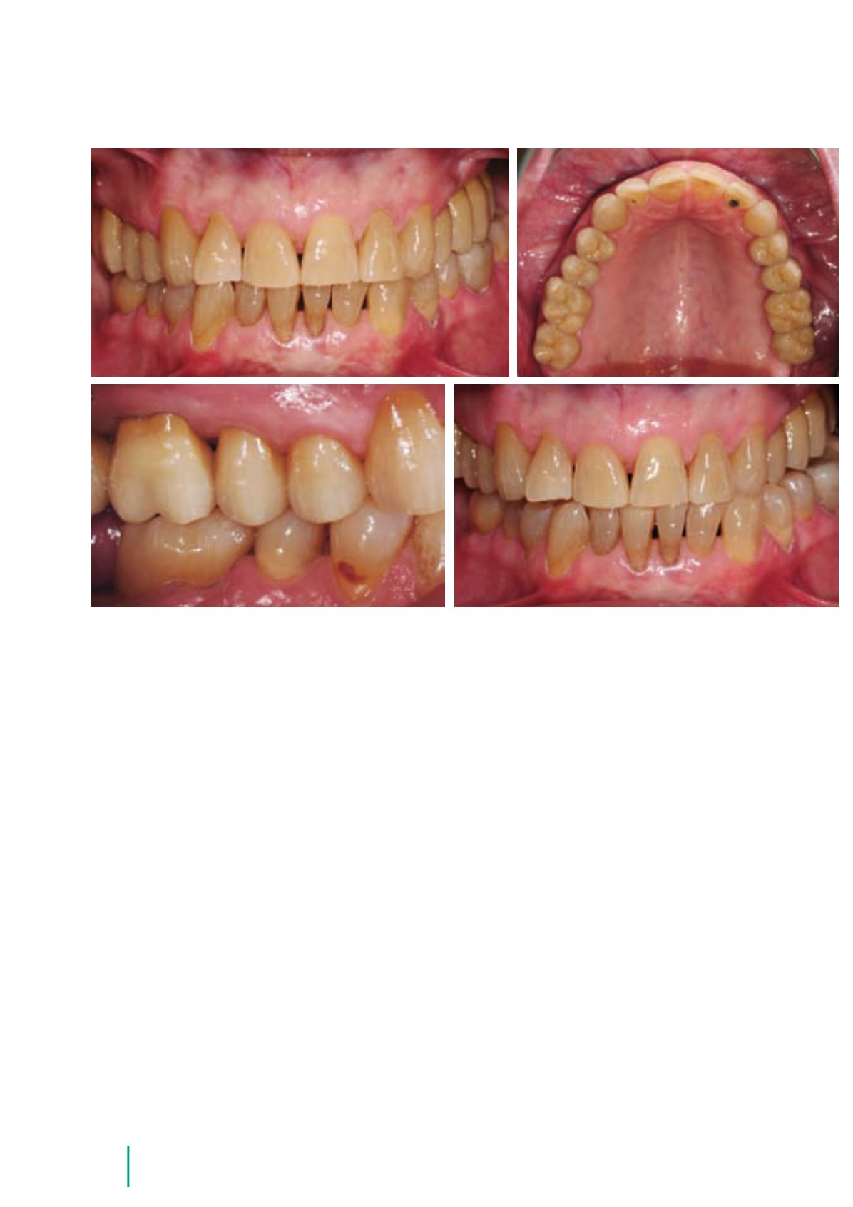
Die Eingliederung erfolgte adhäsiv; für
die Zähne 13, 14, 15 und 23 unter Kof-
ferdam mit Variolink Veneer, für die
Zähne 16, 17 und 24 mit Multilink. Die
Implantate wurden mit Multilink Im-
plant eingesetzt (Abb. 53 bis 59).
Zum Schutz der Implantate wurde eine
neue OKMichigan-Schiene angefertigt,
welche die Patientin nachts trägt. Für
den Erfolg der Versorgung wurde die
Patientin in ein individuell abgestimm-
tes Recall mit engmaschiger Professi-
oneller Zahnreinigung aufgenommen.
Fazit
In einem gut strukturierten Netzwerk
aus Zahntechniker, Zahnarzt und Chir-
urg ist es bei Nutzung der heute zur
Verfügung stehenden Techniken mög-
lich, für den Patienten vorhersagbare
Ergebnisse in Bezug auf Ästhetik und
Funktion bei größtmöglicher Schonung
der Zahnhartsubstanz zu realisieren.
Q
Danksagung
Herzlich bedankenmöchte ichmich bei
Ztm. Uwe Schröder, Jan Meierrose,
Dentallabor Kock, Dr. Dr. H. Grimaldi
undmeinemPraxisteam für die hervor-
ragende Zusammenarbeit.
ec
Abb. 53 bis 59
Fertige Arbeit
im Mund der Patientin
Abb. 55
Abb. 56
Abb. 54
Abb. 53