

88
– dental dialogue 16. JAHRGANG –
8/15
TECHNIK
es darum geht, eine Kunststoffverblendung
farblich möglichst exakt an die gewählten
Konfektionszähne anzupassen. Dies ist eine
echte Herausforderung. Idealerweise wird
mit einem Verblendkunststoff gearbeitet, der
exakt auf die Konfektionszähne abgestimmt
ist. Auch wir blieben im Hersteller-System
und verwendeten (und verwenden) das
Verblendkomposit Vita VM LC. Das lichthär-
tende Material lässt sich ausgesprochen gut
verarbeiten und ist ebenso wie die Konfek-
tionszähne in das Vita-System 3D-Master
integriert. Dies ermöglicht es uns, auf ein-
fachem Weg und ohne „große Tüftelei“ den
gewünschten Farbton exakt zu erzielen. Bin-
nen kurzer Zeit war das Komposit aufgetra-
gen und die Verblendungen ausgearbeitet.
Das Material lässt sich gut beschleifen und
zeigt eine hohe Homogenität und Dichte. Die
Konsistenz der Massen hilft Lufteinschlüs-
se oder Einlagerungen zu verhindern und
sorgt für glatte Oberflächen und eine den
Konfektionszähnen identische Farbe. Feine
farbliche Nuancen kommen dem natürlichen
Erscheinungsbild zugute, daher legten wir
leichte bläuliche Farbnuancen im Inzisalbe-
reich der Zähne 12 sowie 13 an. Nun war
die Oberkieferprothese fertig für die finale
Wachseinprobe.
Einprobe und Fertigstellung
der Prothesen
Generell planen wir für die finale Wachs
einprobe ausreichend Zeit ein. Patienten
müssen die Gelegenheit haben, sich mit
der Arbeit, ihren neuen Zähnen, auseinan-
derzusetzen. In diesem Fall wurden kleine
Änderungen an der Zahnstellung vorge-
23
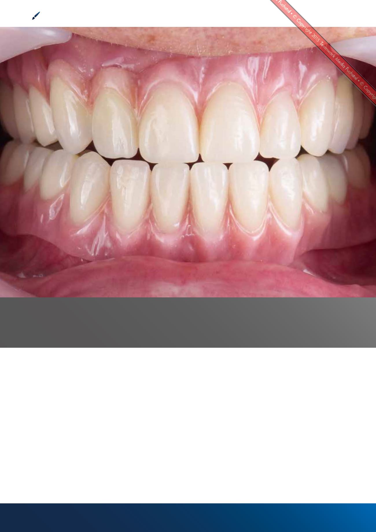
Neue „Ästhetik“ im Oberkiefer: Das alte Gerüst wurde hierfür mit neuen Vita-Zähnen und -Verblendungen versehen. In der
Summe zeigte sich eine in sich stimmige, harmonische Gesamtversorgung